Na spotkaniu Society for Neroscience w San Diego w 2018 roku zostały zaprezentowane, w formie plakatu, intrygujące informacje. Zwróciły one uwagę obecnych na spotkaniu naukowców mikroskopowymi obrazami przedstawiającymi bakterie, które najwyraźniej penetrują oraz zamieszkują komórki zdrowego ludzkiego mózgu. Prace jednak mają charakter wstępny, a ich autorzy zwracają uwagę, że pobrane od zwłok próbki tkanek mogły zostać skażone. Mimo to dla wielu badaczy możliwość wpływania bakterii w sposób bezpośredni na nasz mózg, w tym do przyczyniania się do rozwoju chorób neurologicznych, jest wysoce interesująca.
Mózg to środowisko chronione, które częściowo odizolowane jest od zawartości krwiobiegu poprzez sieci komórek otaczających jego naczynia krwionośne. Mikroorganizmy, które mają zdolność do przenikania przez barierę krew-mózg, mogą powodować zapalenia zagrażające życiu. Badania sugerują też, że żyjące w naszych jelitach mikroby mogą wpływać na nasz nastrój oraz zachowanie. Dodatkowo w sposób pośredni bada się ich korelację z ryzykiem wystąpienia chorób neurologicznych. Przykładem jest zakłócenie równowagi mikrobiomu jelitowego, które może zwiększyć produkcję białka znajdującego się w ludzkich neuronach. Podejrzewa się, że białko to skorelowane jest z chorobą Parkinsona, ponieważ przemieszcza się za pośrednictwem nerwu łączącego jelito z mózgiem.
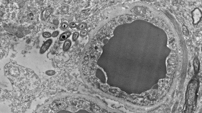
Nieoczekiwane odkrycie bakterii w mózgu sugeruje związek między mikrobami a mózgiem. Związek ten może być niezwykle podobny do związku mikroorganizmów z jelitami. Za to innowacyjne badanie odpowiada zespół dr Rosalindy Roberts, neuroanatoma z University of Alabama w Birmingham (UAB). Jej zespół bada różnice obserwowane do kilku godzin po śmierci w tkance mózgowej osób zdrowych i osób chorych na schizofrenię. Kilka lat temu neuronaukowiec Courtney Walker, będąca wówczas studentką w laboratorium Rosalindy Roberts, zafascynowała się niezidentyfikowanymi drobnymi elementami na fotografii elektronowej tkanki mózgu. Miały one kształt pręcików i pojawiały się w szczegółowych obrazach skrawków badanych pod mikroskopem elektronowym. Roberts zwróciła na nie uwagę wcześniej, ale nie wydały się jej interesujące. Walker była jednak wytrwała. Dr Roberts zaczęła więc kontaktować się z innymi badaczami z UAB, aby ustalić czym są owe obiekty. Nieoczekiwanie odpowiedź przyszła od bakteriologa – pojawiające się drobne elementy okazały się bakteriami. Zespół dr Roberts znalazł bakterie w każdym z 34 sprawdzonym mózgów, przy czym połowa z nich należała do osób zdrowych, a druga do osób ze schizofrenią.
Zaczęto zastanawiać się, czy bakterie z jelit mogłyby za pośrednictwem naczyń krwionośnych przedostawać się do ludzkiego mózgu w czasie między śmiercią człowieka a usunięciem mózgu z ciała. By zweryfikować tę hipotezę badano stan zdrowych mózgów myszy natychmiast po zabiciu gryzoni i w efekcie odnaleziono jeszcze więcej bakterii. Następnie przyglądano się mózgom myszy germ-free, to jest myszy, które są wolne od jakichkolwiek mikroorganizmów. Mózgi tych ostatnich były pozbawione bakterii.
Sekwencjonowanie RNA wykazało, że większość bakterii znalezionych w mózgu pochodziła z trzech typowych dla jelit grup mikroorganizmów: Firmicutes, Bacterioidetes i Proteobacteria. Nie wiadomo jeszcze jak mogły się one dostać do mózgu. Istnieje możliwość, że bakterie te dostały się przez naczynia krwionośne, bądź przedostały się z jelita do nerwów je otaczających. Bierze się również pod uwagę, że drogą ich wejścia jest błona śluzowa w nosie. Dodatkowo nie można stwierdzić, czy bakterie te są pomocne czy szkodliwe. Nie zauważono jednak żadnych oznak zapalenia sugerujących, że wyrządzają one szkodę. Dotychczas nie ujęto jednak w postaci liczbowej systematycznego porównania mózgów osób zdrowych oraz chorych na schizofrenię.
Badanie przez zespół Roberts mikrografów elektronowych wykazało, że bakterie rezydujące w mózgu mają specyficzne preferencje. Wydaje się, że zamieszkują one komórki gwiaździste, tzw. astrocyty, które wspierają i oddziałują z neuronami. Bakterie skupiają się głównie wokół końców astrocytów, otaczając tym samym naczynia krwionośne przy barierze krew-mózg. Występują też bardziej obficie wzdłuż długich neuronów otoczonych mieliną. Może to świadczyć o preferowaniu przez te bakterie miejsc w komórkach mózgu bogatych w cukry i tłuszcze.
Odkrycie wydaje się niezwykle ważne, ale dr Roberts przyznaje, że jej zespół wciąż musi wykluczyć możliwość przypadkowego skażenia próbek. Mikroby mogły bowiem dostać się z powietrza lub narzędzi chirurgicznych do tkanki podczas ekstrakcji mózgu. Nawet jeśli bakterie nigdy nie rozwijały się w żywym mózgu, to fakt jego pośmiertnej kolonizacji jest intrygujący.
Potwierdzone posiadanie mikrobiomu mózgowego u ludzi byłoby rewolucyjnym odkryciem. Istnienie takich bakterii mogłoby wskazywać na ich kluczową rolę np. w regulacji aktywności immunologicznej mózgu, od której zależy hamowanie rozwoju chorób neurodegeneracyjnych. Niewątpliwie jest jeszcze wiele do zbadania. Droga, by potwierdzić te intrygujące wyniki, jest długa, ale na pewno ekscytująca.
Opracowano na podstawie artykułu: Kelly Servick „Do gut bacteria make a second home in our brains?” opublikowanego w czasopiśmie "Science". DOI: 10.1126/science.aaw0147
Artykuł powstał w ramach programu "Tutoring dla najlepszych studentów Uniwersytetu Śląskiego", we współpracy między p. Joanną Dziadek, studentką biotechnologii i dr. Sławomirem Sułowiczem z Wydziału Biologii i Ochrony Środowiska Uniwersytetu Śląskiego w Katowicach. Informacja na temat programu: http://www.tutor.us.edu.pl/
